ESBE Scientifique  
Ventes & Service
1.800.542.4818 - courelec@esbe.com
Bienvenue !
Accueil
English
Mon compte
 
Clinique
Filtration
Fournitures de laboratoire
Judicaire
Marque ESBE
Pharmaceutiques
Produits COVID-19
Professionels de la santé
Sciences biologiques
# D'ITEM QTÉ
/contentonly.aspx?file=images/titles/results_t.gif does not exist
Rechercher parmi ces résultats :
Résultats
Vous avez cherché: Trousse de coloration modifié Russell-Movat
Résultats affichés: 1 - 2 de 2

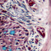
Trousse de coloration pentachrome de Movat (coloration de Russell-Movat modifiée)

La trousse de coloration pentachrome de Movat (coloration de Russell-Movat modifiée) permet la démonstration histologique du collagène, de l'élastine, des muscles, de la mucine et de la fibrine dans les sections de tissu. Cette procédure est particulièrement utile dans l'étude du cœur, des vaisseaux sanguins et de diverses maladies vasculaires.

  • Fibres élastiques : noir à bleu/noir
  • Noyau : bleu/noir
  • Collagène : jaune
  • Fibres réticulaires : jaune
  • Mucine : bleu brillant
  • Fibrine : Rouge brillant
  • Muscle : rouge
# d´itemDescriptionQtéPrix
SCY-MPS1
Movat Pentachrome Stain Kit (Modified Russell-Movat) 400 slides // Trousse de coloration pentachrome de Movat (coloration Russell-Movat modifiée), 400 lamesConnectez-vous pour visualiser les prix
SCY-MPS2
Movat Pentachrome Stain Kit (Modified Russell-Movat) 100 slides//Trousse de coloration modifié Russell-Movat, 100 lamesConnectez-vous pour visualiser les prix