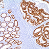
Le CDX-2 est un facteur de transcription homéotique apparenté à la protéine caudale dont l'expression chez l'adulte est normalement limitée à l'épithélium intestinal. Il joue un rôle dans le développement et l'entretien de la muqueuse intestinale. L'expression de cette protéine est observée par immunohistochimie dans les noyaux de l'épithélium intestinal sain. L'expression de la protéine CDX-2 a été observée dans les carcinomes gastro-intestinaux. L'anti--CDX-2 s'est avéré utile pour établir l'origine gastro-intestinale des adénocarcinomes métastatiques et carcinoïdes et est d'une utilité particulière pour distinguer l'adénocarcinome colorectal métastatique de l'adénocarcinome pulmonaire. Toutefois, les carcinomes mucineux de l'ovaire donnent également une réaction positive à cet anticorps, ce qui limite l'utilité de ce marqueur pour faire la distinction entre l'adénocarcinome colorectal métastatique et le carcinome mucineux de l'ovaire.
Le CDX-2 est un facteur de transcription homéotique apparenté à la protéine caudale dont l'expression chez l'adulte est normalement limitée à l'épithélium intestinal. Il joue un rôle dans le développement et l'entretien de la muqueuse intestinale. L'expression de cette protéine est observée par immunohistochimie dans les noyaux de l'épithélium intestinal sain. L'expression de la protéine CDX-2 a été observée dans les carcinomes gastro-intestinaux. L'anti--CDX-2 s'est avéré utile pour établir l'origine gastro-intestinale des adénocarcinomes métastatiques et carcinoïdes et est d'une utilité particulière pour distinguer l'adénocarcinome colorectal métastatique de l'adénocarcinome pulmonaire. Toutefois, les carcinomes mucineux de l'ovaire donnent également une réaction positive à cet anticorps, ce qui limite l'utilité de ce marqueur pour faire la distinction entre l'adénocarcinome colorectal métastatique et le carcinome mucineux de l'ovaire.
http://www.cellmarque.com/Cell Marque
Le CDX-2 est un facteur de transcription homéotique apparenté à la protéine caudale dont l'expression chez l'adulte est normalement limitée à l'épithélium intestinal. Il joue un rôle dans le développement et l'entretien de la muqueuse intestinale. L'expression de cette protéine est observée par immunohistochimie dans les noyaux de l'épithélium intestinal sain. L'expression de la protéine CDX-2 a été observée dans les carcinomes gastro-intestinaux. L'anti--CDX-2 s'est avéré utile pour établir l'origine gastro-intestinale des adénocarcinomes métastatiques et carcinoïdes et est d'une utilité particulière pour distinguer l'adénocarcinome colorectal métastatique de l'adénocarcinome pulmonaire. Toutefois, les carcinomes mucineux de l'ovaire donnent également une réaction positive à cet anticorps, ce qui limite l'utilité de ce marqueur pour faire la distinction entre l'adénocarcinome colorectal métastatique et le carcinome mucineux de l'ovaire.