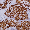
Les rhabdomyosarcomes (RMS) sont les néoplasmes malins des tissus mous les plus fréquents chez l'enfant. Si les RMS mieux différenciés présentent des stries croisées ou des rhabdomyoblastes qui permettent d’établir un diagnostic morphologique fiable, les RMS moins différenciés ressemblent à d’autres tumeurs à petites cellules rondes bleues. La MyoD1, un des membres de la famille MyoD des facteurs de transcription myogéniques présentant une structure hélice-boucle-hélice, en association avec la myogénine, joue un rôle dans la coordination de la voie de différenciation myogénique, de la détermination des précurseurs des cellules mésodermales en myoblastes à la différenciation des myoblastes en myotubes et, enfin, à la maturation des myotubes en myofibres squelettiques. Les muscles squelettiques matures sains n'expriment pas la protéine MyoD1. La MyoD1 est exprimée dans les myoblastes avant la différenciation, tandis que la myogénine a des fonctions post-différenciation. L’immunocoloration par l’anti-MyoD1 permet d’identifier les cellules consacrées à la myogenèse dès le début de leur développement; c’est donc un meilleur biomarqueur des RMS moins différenciés. Selon certaines études, l’anti-MyoD1 pourrait être utilisée en association avec l’anti-myogénine et l’anti-desmine comme panel de marqueurs, puisqu’il est presque impossible qu’un RMS donne une réaction négative simultanée avec ces trois marqueurs.
Les rhabdomyosarcomes (RMS) sont les néoplasmes malins des tissus mous les plus fréquents chez l'enfant. Si les RMS mieux différenciés présentent des stries croisées ou des rhabdomyoblastes qui permettent d’établir un diagnostic morphologique fiable, les RMS moins différenciés ressemblent à d’autres tumeurs à petites cellules rondes bleues. La MyoD1, un des membres de la famille MyoD des facteurs de transcription myogéniques présentant une structure hélice-boucle-hélice, en association avec la myogénine, joue un rôle dans la coordination de la voie de différenciation myogénique, de la détermination des précurseurs des cellules mésodermales en myoblastes à la différenciation des myoblastes en myotubes et, enfin, à la maturation des myotubes en myofibres squelettiques. Les muscles squelettiques matures sains n'expriment pas la protéine MyoD1. La MyoD1 est exprimée dans les myoblastes avant la différenciation, tandis que la myogénine a des fonctions post-différenciation. L’immunocoloration par l’anti-MyoD1 permet d’identifier les cellules consacrées à la myogenèse dès le début de leur développement; c’est donc un meilleur biomarqueur des RMS moins différenciés. Selon certaines études, l’anti-MyoD1 pourrait être utilisée en association avec l’anti-myogénine et l’anti-desmine comme panel de marqueurs, puisqu’il est presque impossible qu’un RMS donne une réaction négative simultanée avec ces trois marqueurs.
http://www.cellmarque.com/Cell Marque
Les rhabdomyosarcomes (RMS) sont les néoplasmes malins des tissus mous les plus fréquents chez l'enfant. Si les RMS mieux différenciés présentent des stries croisées ou des rhabdomyoblastes qui permettent d’établir un diagnostic morphologique fiable, les RMS moins différenciés ressemblent à d’autres tumeurs à petites cellules rondes bleues. La MyoD1, un des membres de la famille MyoD des facteurs de transcription myogéniques présentant une structure hélice-boucle-hélice, en association avec la myogénine, joue un rôle dans la coordination de la voie de différenciation myogénique, de la détermination des précurseurs des cellules mésodermales en myoblastes à la différenciation des myoblastes en myotubes et, enfin, à la maturation des myotubes en myofibres squelettiques. Les muscles squelettiques matures sains n'expriment pas la protéine MyoD1. La MyoD1 est exprimée dans les myoblastes avant la différenciation, tandis que la myogénine a des fonctions post-différenciation. L’immunocoloration par l’anti-MyoD1 permet d’identifier les cellules consacrées à la myogenèse dès le début de leur développement; c’est donc un meilleur biomarqueur des RMS moins différenciés. Selon certaines études, l’anti-MyoD1 pourrait être utilisée en association avec l’anti-myogénine et l’anti-desmine comme panel de marqueurs, puisqu’il est presque impossible qu’un RMS donne une réaction négative simultanée avec ces trois marqueurs.