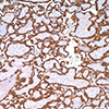
L'hormone lactogène placentaire humaine humane (hPL), auparavant appelée « somatomammotropine chorionique humaine », est une protéine de 22 kDa présentant une homologie partielle avec l'hormone de croissance. L'hPL est détectée pour la première fois dans le sérum maternel à la cinquième semaine de gestation et atteint un plateau durant la trente-quatrième semaine. La présence de l'hPL a été démontrée par immunochimie dans les cellules syncytiotrophoblastiques du choriocarcinome. Une variante rare de la tumeur trophoblastique présentant une ressemblance avec celle du site placentaire de l'utérus a été observée dans les testicules. Cette tumeur est constituée uniquement de trophoblastes intermédiaires qui présentent une positivité diffuse pour l'hHL et une positivité focale pour la ß-hCG.
L'hormone lactogène placentaire humaine humane (hPL), auparavant appelée « somatomammotropine chorionique humaine », est une protéine de 22 kDa présentant une homologie partielle avec l'hormone de croissance. L'hPL est détectée pour la première fois dans le sérum maternel à la cinquième semaine de gestation et atteint un plateau durant la trente-quatrième semaine. La présence de l'hPL a été démontrée par immunochimie dans les cellules syncytiotrophoblastiques du choriocarcinome. Une variante rare de la tumeur trophoblastique présentant une ressemblance avec celle du site placentaire de l'utérus a été observée dans les testicules. Cette tumeur est constituée uniquement de trophoblastes intermédiaires qui présentent une positivité diffuse pour l'hHL et une positivité focale pour la ß-hCG.
http://www.cellmarque.com/Cell Marque
L'hormone lactogène placentaire humaine humane (hPL), auparavant appelée « somatomammotropine chorionique humaine », est une protéine de 22 kDa présentant une homologie partielle avec l'hormone de croissance. L'hPL est détectée pour la première fois dans le sérum maternel à la cinquième semaine de gestation et atteint un plateau durant la trente-quatrième semaine. La présence de l'hPL a été démontrée par immunochimie dans les cellules syncytiotrophoblastiques du choriocarcinome. Une variante rare de la tumeur trophoblastique présentant une ressemblance avec celle du site placentaire de l'utérus a été observée dans les testicules. Cette tumeur est constituée uniquement de trophoblastes intermédiaires qui présentent une positivité diffuse pour l'hHL et une positivité focale pour la ß-hCG.