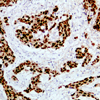
Le SOX9 (« sex determining region Y (SRY)-related high mobility group (HMG)-box 9 ») est un facteur de transcription important jouant un rôle essentiel dans le développement. À titre de régulateur de la transcription, SOX9 est un gène important en aval de _-caténine. Il est exprimé durant l'embryogenèse dans le cartilage, la crête neurale, les reins et le pancréas. Le SOX9 intervient également dans la régulation de la détermination du sexe et dans le maintien des réserves de cellules progénitrices requises pour la différenciation déterminée. Dans la muqueuse colorectale saine, l'expression du SOX9 est observée principalement dans la partie inférieure des cryptes, le compartiment en phase de prolifération et foyer putatif de cellules souches, ce qui laisse croire que le SOX9 pourrait être un biomarqueur de cellules souches ou progénitrices.
Des études récentes ont mis en évidence une surexpression de SOX9 dans les tumeurs solides. Comparativement aux tissus normaux, l'analyse immunohistochimique a révélé une coloration plus intense et plus diffuse dans de nombreux types de cancer, y compris notamment le carcinome gastrique, le cancer du poumon non à petites cellules (CPNPC), l'adénocarcinome pulmonaire, le cancer de la prostate, le carcinome mammaire, l'adénocarcinome canalaire pancréatique, le gliome, le cancer colorectal, le carcinome hépatocellulaire et le cancer de l'ovaire. L'amplification de 17q24.3, la région chromosomique correspondant au gène SOX9, a été observée dans les cancers de la prostate, du sein et de l'ovaire, ainsi que dans le neuroblastome et le médulloblastome, qui présentent tous une expression importante de SOX9. Si la coloration est principalement nucléaire, le SOX9 cytoplasmique peut être utile à titre de marqueur pronostique du carcinome canalaire invasif et du cancer du sein métastatique. De plus, la régulation positive du SOX9 a été associée à des tumeurs de stade plus avancé et de grade plus haut et sa surexpression a été reconnue comme étant un marqueur pronostique indépendant de la réduction de la probabilité de survie dans le CPNPC et le carcinome hépatocellulaire.
Documentation:
Site du manufacturier:
SOX9 (EP317)
Lapin (monoclonal)
Le SOX9 (« sex determining region Y (SRY)-related high mobility group (HMG)-box 9 ») est un facteur de transcription important jouant un rôle essentiel dans le développement. À titre de régulateur de la transcription, SOX9 est un gène important en aval de _-caténine. Il est exprimé durant l'embryogenèse dans le cartilage, la crête neurale, les reins et le pancréas. Le SOX9 intervient également dans la régulation de la détermination du sexe et dans le maintien des réserves de cellules progénitrices requises pour la différenciation déterminée. Dans la muqueuse colorectale saine, l'expression du SOX9 est observée principalement dans la partie inférieure des cryptes, le compartiment en phase de prolifération et foyer putatif de cellules souches, ce qui laisse croire que le SOX9 pourrait être un biomarqueur de cellules souches ou progénitrices.
Des études récentes ont mis en évidence une surexpression de SOX9 dans les tumeurs solides. Comparativement aux tissus normaux, l'analyse immunohistochimique a révélé une coloration plus intense et plus diffuse dans de nombreux types de cancer, y compris notamment le carcinome gastrique, le cancer du poumon non à petites cellules (CPNPC), l'adénocarcinome pulmonaire, le cancer de la prostate, le carcinome mammaire, l'adénocarcinome canalaire pancréatique, le gliome, le cancer colorectal, le carcinome hépatocellulaire et le cancer de l'ovaire. L'amplification de 17q24.3, la région chromosomique correspondant au gène SOX9, a été observée dans les cancers de la prostate, du sein et de l'ovaire, ainsi que dans le neuroblastome et le médulloblastome, qui présentent tous une expression importante de SOX9. Si la coloration est principalement nucléaire, le SOX9 cytoplasmique peut être utile à titre de marqueur pronostique du carcinome canalaire invasif et du cancer du sein métastatique. De plus, la régulation positive du SOX9 a été associée à des tumeurs de stade plus avancé et de grade plus haut et sa surexpression a été reconnue comme étant un marqueur pronostique indépendant de la réduction de la probabilité de survie dans le CPNPC et le carcinome hépatocellulaire.
Lapin (monoclonal)
Le SOX9 (« sex determining region Y (SRY)-related high mobility group (HMG)-box 9 ») est un facteur de transcription important jouant un rôle essentiel dans le développement. À titre de régulateur de la transcription, SOX9 est un gène important en aval de _-caténine. Il est exprimé durant l'embryogenèse dans le cartilage, la crête neurale, les reins et le pancréas. Le SOX9 intervient également dans la régulation de la détermination du sexe et dans le maintien des réserves de cellules progénitrices requises pour la différenciation déterminée. Dans la muqueuse colorectale saine, l'expression du SOX9 est observée principalement dans la partie inférieure des cryptes, le compartiment en phase de prolifération et foyer putatif de cellules souches, ce qui laisse croire que le SOX9 pourrait être un biomarqueur de cellules souches ou progénitrices.
Des études récentes ont mis en évidence une surexpression de SOX9 dans les tumeurs solides. Comparativement aux tissus normaux, l'analyse immunohistochimique a révélé une coloration plus intense et plus diffuse dans de nombreux types de cancer, y compris notamment le carcinome gastrique, le cancer du poumon non à petites cellules (CPNPC), l'adénocarcinome pulmonaire, le cancer de la prostate, le carcinome mammaire, l'adénocarcinome canalaire pancréatique, le gliome, le cancer colorectal, le carcinome hépatocellulaire et le cancer de l'ovaire. L'amplification de 17q24.3, la région chromosomique correspondant au gène SOX9, a été observée dans les cancers de la prostate, du sein et de l'ovaire, ainsi que dans le neuroblastome et le médulloblastome, qui présentent tous une expression importante de SOX9. Si la coloration est principalement nucléaire, le SOX9 cytoplasmique peut être utile à titre de marqueur pronostique du carcinome canalaire invasif et du cancer du sein métastatique. De plus, la régulation positive du SOX9 a été associée à des tumeurs de stade plus avancé et de grade plus haut et sa surexpression a été reconnue comme étant un marqueur pronostique indépendant de la réduction de la probabilité de survie dans le CPNPC et le carcinome hépatocellulaire.