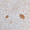
PAX6 appartient à la famille des facteurs de transcription à domaine « paired » (PAX) exprimés au cours du développement des organes sensoriels (y compris les tissus oculaires, nasal et olfactif), du système nerveux central et du système endocrinien. L'expression de PAX6 est maintenu dans le système neuroendocrinien des adultes.
PAX6 marque les cellules neuroendocrines et les cellules des tumeurs qui en proviennent. Une étude récente a montré que la réaction à PAX6 est positive dans la majorité des tumeurs neuroendocrines originaires du pancréas, du duodénum et du côlon. PAX6 pourrait être utile pour l'identification des tumeurs neuroendocrines.
Documentation:
Site du manufacturier:
PAX6 (EP341)
Lapin (monoclonal)
PAX6 appartient à la famille des facteurs de transcription à domaine « paired » (PAX) exprimés au cours du développement des organes sensoriels (y compris les tissus oculaires, nasal et olfactif), du système nerveux central et du système endocrinien. L'expression de PAX6 est maintenu dans le système neuroendocrinien des adultes.
PAX6 marque les cellules neuroendocrines et les cellules des tumeurs qui en proviennent. Une étude récente a montré que la réaction à PAX6 est positive dans la majorité des tumeurs neuroendocrines originaires du pancréas, du duodénum et du côlon. PAX6 pourrait être utile pour l'identification des tumeurs neuroendocrines.
Lapin (monoclonal)
PAX6 appartient à la famille des facteurs de transcription à domaine « paired » (PAX) exprimés au cours du développement des organes sensoriels (y compris les tissus oculaires, nasal et olfactif), du système nerveux central et du système endocrinien. L'expression de PAX6 est maintenu dans le système neuroendocrinien des adultes.
PAX6 marque les cellules neuroendocrines et les cellules des tumeurs qui en proviennent. Une étude récente a montré que la réaction à PAX6 est positive dans la majorité des tumeurs neuroendocrines originaires du pancréas, du duodénum et du côlon. PAX6 pourrait être utile pour l'identification des tumeurs neuroendocrines.