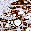
La protéine de réparation des cassures double-brin MRE11 est une protéine multifonctionnelle qui forme un complexe MRE11-NBS1-RAD50 (M-N-R) en réponse à une lésion de l'ADN. La présence de MRE11 est requise pour l'assemblage correct du complexe M-N-R, qui joue un rôle crucial dans l'activation des points de contrôle du cycle cellulaire et se localise aux endroits où l'ADN subit des réparations. Les mutations du gène MRE11 sont liées au trouble de type ataxie-télangiectasie et ont été récemment mises en cause dans la prédisposition au cancer par inactivation du complexe M-N-R.
Si la coloration nucléaire de la MRE11 est observée dans pratiquement tous les tissus sains, des mutations ont été fréquemment identifiées dans les tumeurs porteuses d'une instabilité microsatellitaire, ce qui est caractéristique des mutations rendant le système de réparation des mésappariements déficient. Les cellules dont le système de réparation des mésappariements est défectueux accumulent les erreurs de réplication qui peuvent entraîner l'inactivation d'un gène suppresseur de tumeur et conduire à la progression du cancer. Plusieurs études d'immunohistochimie ont fait état d'une diminution de l'expression de la MRE11 allant de 50 à 83 % dans les cancers du côlon, de l'estomac, de la vessie et de l'endomètre présentant une instabilité microsatellitaire et un système de réparation des mésappariements déficient. La réduction ou la perte de l'expression de MRE11 est un facteur indépendant associé à une probabilité de survie inférieure.
Documentation:
Site du manufacturier:
MRE11 (EP318)
Lapin (monoclonal)
La protéine de réparation des cassures double-brin MRE11 est une protéine multifonctionnelle qui forme un complexe MRE11-NBS1-RAD50 (M-N-R) en réponse à une lésion de l'ADN. La présence de MRE11 est requise pour l'assemblage correct du complexe M-N-R, qui joue un rôle crucial dans l'activation des points de contrôle du cycle cellulaire et se localise aux endroits où l'ADN subit des réparations. Les mutations du gène MRE11 sont liées au trouble de type ataxie-télangiectasie et ont été récemment mises en cause dans la prédisposition au cancer par inactivation du complexe M-N-R.
Si la coloration nucléaire de la MRE11 est observée dans pratiquement tous les tissus sains, des mutations ont été fréquemment identifiées dans les tumeurs porteuses d'une instabilité microsatellitaire, ce qui est caractéristique des mutations rendant le système de réparation des mésappariements déficient. Les cellules dont le système de réparation des mésappariements est défectueux accumulent les erreurs de réplication qui peuvent entraîner l'inactivation d'un gène suppresseur de tumeur et conduire à la progression du cancer. Plusieurs études d'immunohistochimie ont fait état d'une diminution de l'expression de la MRE11 allant de 50 à 83 % dans les cancers du côlon, de l'estomac, de la vessie et de l'endomètre présentant une instabilité microsatellitaire et un système de réparation des mésappariements déficient. La réduction ou la perte de l'expression de MRE11 est un facteur indépendant associé à une probabilité de survie inférieure.
Lapin (monoclonal)
La protéine de réparation des cassures double-brin MRE11 est une protéine multifonctionnelle qui forme un complexe MRE11-NBS1-RAD50 (M-N-R) en réponse à une lésion de l'ADN. La présence de MRE11 est requise pour l'assemblage correct du complexe M-N-R, qui joue un rôle crucial dans l'activation des points de contrôle du cycle cellulaire et se localise aux endroits où l'ADN subit des réparations. Les mutations du gène MRE11 sont liées au trouble de type ataxie-télangiectasie et ont été récemment mises en cause dans la prédisposition au cancer par inactivation du complexe M-N-R.
Si la coloration nucléaire de la MRE11 est observée dans pratiquement tous les tissus sains, des mutations ont été fréquemment identifiées dans les tumeurs porteuses d'une instabilité microsatellitaire, ce qui est caractéristique des mutations rendant le système de réparation des mésappariements déficient. Les cellules dont le système de réparation des mésappariements est défectueux accumulent les erreurs de réplication qui peuvent entraîner l'inactivation d'un gène suppresseur de tumeur et conduire à la progression du cancer. Plusieurs études d'immunohistochimie ont fait état d'une diminution de l'expression de la MRE11 allant de 50 à 83 % dans les cancers du côlon, de l'estomac, de la vessie et de l'endomètre présentant une instabilité microsatellitaire et un système de réparation des mésappariements déficient. La réduction ou la perte de l'expression de MRE11 est un facteur indépendant associé à une probabilité de survie inférieure.