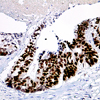
La protéine 5 du maintien des minichromosomes (MCM5), également appelée facteur d'autorisation de la réplication de l'ADN, est un membre de la famille des MCM qui régule la réplication de l'ADN chez les mammifères. Cette famille est composée de six sous-unités apparentées, appelées complexe hexamérique MCM2-7, qui sont conservées chez tous les eucaryotes. Elle assume une fonction d'hélicase réplicative, le moteur moléculaire qui désapparie l'ADN double brin et active la progression de la fourche de réplication de l'ADN. Les protéines MCM interviennent également dans d'autres opérations chromosomiques comme la réponse en cas de dommages à l'ADN, la transcription et la structure de la chromatine. Les MCM jouent un rôle central dans de nombreux aspects de la stabilité du génome. La protéine MCM5 est régulée positivement pendant la transition entre les phases G0 et G1/S du cycle cellulaire et peut prendre une part active à la régulation de ce cycle. Il existe une forte corrélation positive entre les niveaux d'expression de MCM2 ou de MCM5 et l'indice de marquage par Ki-67. La MCM5 peut être un marqueur utile de la prolifération pour le cancer de la peau et le cancer du côlon et présente un intérêt pronostique dans le cancer du côlon et le cancer de l'ovaire, en association avec l'expression de p16INK4A.
Documentation:
Site du manufacturier:
MCM5 (EP84)
Lapin (monoclonal)
La protéine 5 du maintien des minichromosomes (MCM5), également appelée facteur d'autorisation de la réplication de l'ADN, est un membre de la famille des MCM qui régule la réplication de l'ADN chez les mammifères. Cette famille est composée de six sous-unités apparentées, appelées complexe hexamérique MCM2-7, qui sont conservées chez tous les eucaryotes. Elle assume une fonction d'hélicase réplicative, le moteur moléculaire qui désapparie l'ADN double brin et active la progression de la fourche de réplication de l'ADN. Les protéines MCM interviennent également dans d'autres opérations chromosomiques comme la réponse en cas de dommages à l'ADN, la transcription et la structure de la chromatine. Les MCM jouent un rôle central dans de nombreux aspects de la stabilité du génome. La protéine MCM5 est régulée positivement pendant la transition entre les phases G0 et G1/S du cycle cellulaire et peut prendre une part active à la régulation de ce cycle. Il existe une forte corrélation positive entre les niveaux d'expression de MCM2 ou de MCM5 et l'indice de marquage par Ki-67. La MCM5 peut être un marqueur utile de la prolifération pour le cancer de la peau et le cancer du côlon et présente un intérêt pronostique dans le cancer du côlon et le cancer de l'ovaire, en association avec l'expression de p16INK4A.
Lapin (monoclonal)
La protéine 5 du maintien des minichromosomes (MCM5), également appelée facteur d'autorisation de la réplication de l'ADN, est un membre de la famille des MCM qui régule la réplication de l'ADN chez les mammifères. Cette famille est composée de six sous-unités apparentées, appelées complexe hexamérique MCM2-7, qui sont conservées chez tous les eucaryotes. Elle assume une fonction d'hélicase réplicative, le moteur moléculaire qui désapparie l'ADN double brin et active la progression de la fourche de réplication de l'ADN. Les protéines MCM interviennent également dans d'autres opérations chromosomiques comme la réponse en cas de dommages à l'ADN, la transcription et la structure de la chromatine. Les MCM jouent un rôle central dans de nombreux aspects de la stabilité du génome. La protéine MCM5 est régulée positivement pendant la transition entre les phases G0 et G1/S du cycle cellulaire et peut prendre une part active à la régulation de ce cycle. Il existe une forte corrélation positive entre les niveaux d'expression de MCM2 ou de MCM5 et l'indice de marquage par Ki-67. La MCM5 peut être un marqueur utile de la prolifération pour le cancer de la peau et le cancer du côlon et présente un intérêt pronostique dans le cancer du côlon et le cancer de l'ovaire, en association avec l'expression de p16INK4A.