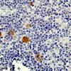
Le CD30, membre de la superfamille des récepteurs du TNF, est le récepteur du TNFSF8/CD30L. TRAF2 et TRAF5 peuvent interagir avec ce récepteur et médier la transduction du signal qui mène à l'activation du NF-kappa B. Ce récepteur est un régulateur positif de l'apoptose, et il a également été démontré qu'il limite le potentiel prolifératif des lymphocytes T CD8 effecteurs autoréactifs et protège l'organisme contre l'autoimmunité. L'anticorps contre le CD30 marque les lymphocytes B et T activés. Il est utile pour identifier le lymphome de Hodgkin, les lymphomes anaplasiques à grandes cellules (ALCL) et les troubles lymphoprolifératifs à lymphocytes T CD30+ cutanés primitifs. Dans les tumeurs malignes non lymphoïdes, une réactivité à l'égard du CD30 a été rapportée dans le carcinome embryonnaire (CE), le séminome et le carcinome hépatocellulaire.
Le CD30, membre de la superfamille des récepteurs du TNF, est le récepteur du TNFSF8/CD30L. TRAF2 et TRAF5 peuvent interagir avec ce récepteur et médier la transduction du signal qui mène à l'activation du NF-kappa B. Ce récepteur est un régulateur positif de l'apoptose, et il a également été démontré qu'il limite le potentiel prolifératif des lymphocytes T CD8 effecteurs autoréactifs et protège l'organisme contre l'autoimmunité. L'anticorps contre le CD30 marque les lymphocytes B et T activés. Il est utile pour identifier le lymphome de Hodgkin, les lymphomes anaplasiques à grandes cellules (ALCL) et les troubles lymphoprolifératifs à lymphocytes T CD30+ cutanés primitifs. Dans les tumeurs malignes non lymphoïdes, une réactivité à l'égard du CD30 a été rapportée dans le carcinome embryonnaire (CE), le séminome et le carcinome hépatocellulaire.
Le CD30, membre de la superfamille des récepteurs du TNF, est le récepteur du TNFSF8/CD30L. TRAF2 et TRAF5 peuvent interagir avec ce récepteur et médier la transduction du signal qui mène à l'activation du NF-kappa B. Ce récepteur est un régulateur positif de l'apoptose, et il a également été démontré qu'il limite le potentiel prolifératif des lymphocytes T CD8 effecteurs autoréactifs et protège l'organisme contre l'autoimmunité. L'anticorps contre le CD30 marque les lymphocytes B et T activés. Il est utile pour identifier le lymphome de Hodgkin, les lymphomes anaplasiques à grandes cellules (ALCL) et les troubles lymphoprolifératifs à lymphocytes T CD30+ cutanés primitifs. Dans les tumeurs malignes non lymphoïdes, une réactivité à l'égard du CD30 a été rapportée dans le carcinome embryonnaire (CE), le séminome et le carcinome hépatocellulaire.